Prognosis COVID-19 is now no longer a pandemic; however, as a substitute endemic, at least 651,247 humans round global having missed their lives after contracting the ailment.
Currently, there may be no particular remedy or treatment for COVID-19. For that reason, dwelling with the illness and its signs and symptoms are inevitable. This has positioned an enormous burden on constrained healthcare structures internationally, particularly inside the growing nations.
Although neither a practical, clinically validated antiviral agents’ method nor an authorized vaccine exist to eliminate the COVID-19 pandemic, some options can lessen the massive burden on now no longer constrained healthcare structures; however,
- Additionally, in the monetary sector, the maximum promise encompasses harnessing non-scientific strategies and gadget mastering, records mining, deep mastering, and different synthetic intelligence. These options might facilitate prognosis and analysis for pandemic patients.
- Supervised gadget mastering fashions for COVID-19 contamination evolved on these paintings with mastering algorithms that encompass logistic regression. The correlation evaluation among diverse based and impartial capabilities changed into accomplished to decide a power dating among every based typical and fair characteristic of the dataset previous to growing the fashions. The 80% of the schooling dataset used for schooling the techniques simultaneously as the last 20% had been used to check out the styles.

Here, Facebook AI has currently added a pre-educated device studying with the analysis of COVID-19. Though it’s been 12 months into the COVID outbreak, the researchers, healthcare workers, and health center bodies of workers suffer from comprising the situation. Not handiest has it been a task to make correct predictions of the disease’s direction. However, the pandemic has additionally positioned a pressure on hospitals’ resources.
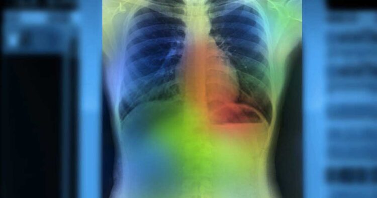
- To deal with this, Facebook AI has currently added pre-educated device studying (ML) fashions to assist docs to task the analysis of COVID sufferers to make powerful medical choices and allocate resources. The study is part of an ongoing collaboration with NYU Langone Health’s Predictive Analytics Unit and Department of Radiology. The ML fashions are used to expect affected person deterioration using X-ray Radiographs.
- In the latest paper, Facebook AI researchers confirmed how self-supervised fashions primarily based totally on the momentum contrast technique should help gain knowledge of different standard picture representations for downstream tasks.
- The test proved the ML version could expect the deterioration of COVID-19 sufferers as much as ninety-six hours with the best accuracy. The researchers accept as accurate with an understanding like this could help healthcare companies expect the call for the sources that might be essential to cope with high-danger Tech Explained Deep mastering techniques for image-primarily based analysis use supervised schooling widespread in predicting the danger of decay in COVID-19 patients. However, such methods include numerous constraints, just like labeled information, pricey education, etc.
Read More:- How This Uncertain Pandemic Influenced The Time Series Model In Production ?
What is precisely ML?

Machine learning is one of the maximum superior standards of synthetic intelligence. It offers a strategic technique for growing automated, complicated, and goal algorithmic strategies for multimodal and dimensional biomedical or mathematical information analysis. The ML algorithms can study and alter their shape primarily based totally on a hard and fast of discovered information with variation achieved via optimizing over a price characteristic or a goal. ML has already proven capability for diagnosing, detecting, containing, and healing motoring of many diseases.
ML strategies may be categorized in 4 ways:
1. Supervised Learning
Supervise ML to know strategies or algorithms that bind preceding and cutting-edge datasets with the help of classified facts to expect destiny events. The getting-to-know method starts evolved with a dataset education method. It develops a centered pastime to expect output values. The strategies can offer effects in entering facts with a suitable enough education method, evaluating effects with real results and expectancies to perceive mistakes, and altering the version in step with the impact.
Read More:- Most Popular Data Science Python Libraries for ML & DL
2. Unsupervised Learning
Unsupervised ML strategies are used while the education dataset is noncategorized or non-classified. The getting-to-know processes deduce a characteristic to extract confidential information or a sample from an unlabelled dataset. The approach now no longer perceives the right output; however, instead of extracts off, it evolved from the dataset to discover hidden styles from the unlabelled dataset.
3. Semi-Supervised Learning
Semi-Supervised are mastering strategies that lie among supervised mastering strategies and unsupervised mastering strategies. Classified and non-classified datasets are used inside the schooling process. The mastering strategies generally remember a smaller classified dataset and a bigger unlabelled dataset. The mastering strategies may be tailored to attain better accuracy. The plan is top-rated during a classified dataset & suitable assets for schooling or mastering.
4. Reinforcement Learning
Its mastering strategies have interaction with the mastering surroundings with the aid of using moves to discover errors. Delayed rewards and trial and blunders searches are a number of the not unusual place functions of the reinforcement mastering strategies, and the methods are used to perceive the best conduct in a selected context to boom the overall performance of the model,
- Here, machine studying techniques for image-primarily based total prognosis using supervised education had been well-known to predict the chance of decay in COVID-19 patients.
- ML strategies are recently getting used to evaluate the excessive dimensional biomedical established and unstructured dataset. Diagnosis of malaria, typhoid, and vascular sicknesses’ classification, diabetes change assessment, genomic and genetic information evaluation are several examples of biomedical use of ML strategies.
Related Work
The associated works that have been reviewed thus far imply that ML strategies and different synthetic intelligence strategies have performed critical roles in predicting, prognosis, and containment of the COVID-19 pandemic, which could help lessen the massive burden on restricted healthcare systems.
To our knowledge, no paintings have been suggested thus far the usage of epidemiology classified datasets for advantageous and terrible COVID-19 instances in Mexico for improvement of supervised ML fashions for prediction of the COVID-19 infection. Therefore, the existing look at intends to analyze those gaps.
Read More:- How Is Data Science Used Across Industries?
Predictive Models for COVID-19 Infection

- The supervised ML fashions for COVID-19 contamination have been evolved with a selection tree, logistic regression, naive Bayes. SVM and ANN devices are gaining knowledge of algorithms with an epidemiology dataset for high quality and low COVID-19 instances in Mexico. Before improving the version, the correlation coefficient evaluation among the diverse established and impartial functions turned into finished deciding a full dating among every established part and neutral process of the dataset. The pre-educated version turned into then used to construct classifiers for predicting the medical deterioration of COVID-19 patients.
- Self-supervised education achieves better overall performance accuracy for predicting an unfavorable occasion in any respect of time points. According to the paper, the group used the NYU COVID-19 dataset with over 26 thousand X-ray radiographs from 4,914 sufferers for tuning the model. The labeled facts confirmed whether the patient’s situation deteriorated inside ninety-six hours of the scan,
- The COVID-19 pandemic has hugely expanded healthcare companies’ want to apprehend COVID-19 sufferers’ diagnoses to make effective medical decisions. With the uncertainty worried about this lethal disease, it’s been tough to expand the system gaining knowledge of fashions for predicting its risks. A lot of this will be attributed to amassing big datasets through leading clinical centers.
As a result, Facebook AI determined to deal with this trouble using self-supervised contrasting loss pre-training. Facebook AI is likewise open-sourcing their pre-educated fashions for different researchers and healthcare companies to track their personal X-ray datasets and helps the broader network with proper resource planning.
Conclusion
The COVID-19 pandemic now seems to be endemic like different communicable sicknesses, including HIV/AIDS, Tuberculosis, Measles, and Hepatitis. It has affected almost 213 nations and territories internationally and a couple of global conveyances, thereby main the World Health Organization to claim the sickness as a public fitness emergency of international concern. COVID-19 is transmitted via direct touch with a named character through sneezing and coughing. It has no medically accepted vaccine or medication. Non-medical strategies inclusive of ML strategies are getting used as an opportunity approach for prognosis and diagnosis of 2019-nCoV pandemic sufferers if you want to complement and decrease the Supervised ML fashions COVID-19 contamination had been evolved on these paintings with a choice tree, logistic regression. Naive Bayes mastering algorithms using an epidemiology classified dataset of only and low COVID-19 instances.












